Written By: Chloe Wilson BSc (Hons) Physiotherapy
Reviewed By: SPE Medical Review Board

A clavicle fracture, aka broken collar bone, is a common injury usually caused a fall, direct blow or car accident.
Broken collarbones are most common in children in young adults. The collar bone is the most commonly fractured bone in the body.
Whilst they may be very painful, clavicle injuries are rarely serious and in most cases are managed conservatively with a sling rather than requiring surgery. Clavicle fractures are the most common cause of collar bone pain and clavicle lumps.
Here we will look at the common causes and symptoms of clavicle fractures, how they are diagnosed and treated, how to make the best recovery and common problem associated with a broken collarbone.
The clavicle, aka collarbone, sits at the front of the shoulder joint. It is a long, thin bone that sits in-front of the top of the ribcage.

It connects the sternum (breastbone) to the acromion (front part of the scapula) forming two joints, the sternoclavicular and acromioclavicular joints.
It is slightly curved in shape, like a stretched-out “S” and is help in place by various ligaments and muscles. It helps to hold the shoulder blade in place, like a strut, so that the arm can hang freely, as well as protecting underlying nerves and blood vessels.
Interestingly, the clavicle is the first bone to start growing during embryonic development (5-6 weeks gestation) and one of the last bones to finish growing, around the age of 21-25 years.
You can find out more about the collar bone in the shoulder bones sections.
Clavicle fractures are commonly caused by:
A broken collarbone is one of the most common acute shoulder injuries and the most common fracture seen in children. Clavicle fractures are less common over the age of 20, but still account for 2-5% of adult fractures.
The most common symptoms of a clavicle fracture include:
Anyone with a suspected clavicle fracture should see their doctor immediately. The doctor will ask questions about how you injured yourself. They will then examine your arm looking at the position and your arm movements as well as gently palpating along the length of the bone.
You will usually be sent for an x-ray to determine the type of fracture and to check for any associated damage. Diagnosis in children may be done with an ultrasound rather than x-ray.
Clavicle fractures can be classified into three groups using the Allman Classification, depending on the location and severity of the fracture:
In most cases, broken collar bones are treated conservatively i.e. non-operatively. With more severe, unstable fractures, surgery may be indicated, but this is only needed in around 5-10% of clavicle fractures.
#CommissionsEarned from Amazon on qualifying purchases
Treatment for clavicle fractures usually involves:
With a clavicle fracture, the arm will be immobilized in a sling to hold the arm in place. This gives the broken collarbone time to heal by laying down new bone (ossification) to re-join the broken sections.
Either a simple arm sling or a figure of eight sling (that wraps around both shoulders and the neck to hold the shoulders back) will be used. There is little evidence that one is better than the other.
You should keep using the sling until there is no pain when you move your arm. Initially you will need to wear it all the time (including at night), except when you are doing your exercises, but as it heals you will be able to wear it less – be guided by pain.
Children can usually stop using their sling after around 2-4 weeks, adults will need it for longer, usually around 3-8 weeks, depending on the level of displacement of the clavicle fracture.
Pain relieving analgesia e.g. paracetamol/Tylenol and anti-inflammatories e.g. ibuprofen/Advil can really help following a clavicle fracture. Always talk to your doctor before taking any medication.
Ice should be applied to the collarbone area as soon as possible after injury and used regularly for the first couple of weeks to help reduce pain and swelling. An ice pack wrapped in a towel can be placed over the area for 10-15 minutes.
You should wait at least 2 hours before reapplying the ice. For more information on using ice packs safely and effectively after a clavicle fracture visit the Ice Therapy section on our sister site.

Following a clavicle fracture you will be encouraged to start gentle range of movement exercises almost immediately in order to minimize stiffness. These will start with gentle pendulum exercises for the shoulder and exercises for the elbow and hand, progressing on to range of movement exercises as the pain allows.
As the bone heals you will gradually progress on to rotator cuff strengthening exercises to regain full strength in the arm. Scapular stabilization exercises are also really important to regain the stability and control around your shoulder blade.
You will need to continue with exercises until you have regained full range of movement and strength – this usually takes up to three months.
If a baby has suffered a broken collarbone during delivery, treatment will usually consist of pain relief and careful handling of the baby.
Surgical treatment of broken collarbones is only necessary in 5-10% of cases. Surgery for a clavicle fracture is only indicated if there is:
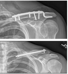
If surgery is required, the surgeon will realign the collarbone fragments and fix them together with either:
Metal Plate: A specially shaped metal plate, made of titanium or steel is placed over the top of the collarbone or occasionally around the front to hold the bones in the correct alignment. It is fastened in place with screws.
Intramedullary Fixation: A nail or rod may be used to fix the bone together. This goes through the middle of the bone (known as the canal) to hold the pieces together.
Whichever surgical method is used, you will normally be discharged home later that day or the following day. In most cases, the metal work will be left in place indefinitely, but if it starts to causes a problem, such as shoulder pain, stiffness or it shifts out of position, it can be removed once the collar bone has fully healed.
Following surgery, treatment will be similar to the non-surgical treatment above. You will need to wear a sling for at least 3-4 weeks and you will be given an exercise program to follow by a physical therapist to ensure you regain full movement and strength - visit the rotator cuff exercises section to find out more.
Recovering from a clavicle fracture usually takes 3-6 weeks in children and 6-12 weeks in adults for the bone to fully heal. It takes about twice as long to regain full function.
Most people who suffer from a broken collarbone make a full recovery within three months, at which point it is safe to return to contact sports. Healing may take longer if you smoke or suffer from diabetes.
Here is some advice on how to make the best recovery following a broken collarbone:

Long-term problems following a clavicle fracture are rare with most people making a full recovery. But complications can occur both with surgical and non-surgical treatment for a broken collar bone.
Any surgery is associated with risks such as infection, bleeding, blood clots and damage to the surrounding nerves and/or blood vessels. Specific risks associated with surgery for a broken clavicle include:
Clavicle fractures are the most common cause of collar bone pain but there are a number of other things that can cause pain in this area. Visit the Collar Bone Pain section to find out more.
To find out about fractures of other parts of the shoulder region, visit the shoulder fractures section or if you think your pain might be caused by something out have a look at:
And if you have suffered from a clavicle fracture, don't worry - most people make a full recovery in just a few weeks.
Page Last Updated: May 16th, 2024
Next Review Due: May 16th, 2026