Wrist Fracture

Written By: Chloe Wilson BSc (Hons) Physiotherapy
Reviewed By: SPE Medical Review Board

Wrist fractures are among the most common bone injuries, affecting people of all ages. A broken wrist occurs when one or more bones in the wrist break due to trauma or excessive force. 

There are lots of different types of broken wrist, depending on the location and severity of the injury. The most common wrist bone fracture types are distal radius fractures e.g. Colles Fracture, and Scaphoid fractures, both typically caused by a fall onto an outstretched hand.

Wrist Fracture: Types of broken wrist, symptoms, causes, treatment and recovery

Here we look at the different types of wrist fracture, common symptoms, causes and risk factors, how they are diagnosed, the different treatment options and recovery process, including top tips on how to make the best recovery.

What is a Wrist Fracture?

A wrist fracture refers to a break or crack in one or more of the bones that form the wrist joint. The wrist consists of several bones that provide flexibility and strength:

Wrist fracture anatomy: the wrist joint is made up of the radius, ulna and carpal bones
  • Radius: The larger of the two forearm bones, located on the thumb side. A distal radius fracture is the most common wrist fracture type

  • Ulna: The smaller forearm bone, positioned on the pinky side

  • Carpal Bones: A group of eight small bones found at the base of the hand. The scaphoid is the most frequently fractured carpal bone

Classification Of Wrist Fractures

Wrist bone fractures vary in severity, and doctors use the following classifications for different types of broken wrist:

  • Simple or Comminuted Wrist Fracture: With simple fractures, the bone breaks into 2 pieces, whereas with comminuted fractures the bone breaks into multiple pieces
  • Closed & Open Wrist Fractures: With closed fractures, the bone fractures but does not puncture the skin, but with open fractures it does increasing the risk of infection
  • Intra & Extra-Articular Wrist Fracture: Intra-articular fractures extends into the wrist joint, potentially leading to joint instability and arthritis. Extra-articular fractures do not extend into the wrist joint
  • Impacted Wrist Fracture: One part of the broken bone is driven into another, typically from a high-impact force
  • Buckle Fracture Wrist: aka Torus Fracture, a type of incomplete fracture where the bone compresses, causing it to bulge or bend rather than break completely; common in children
  • Hairline Fracture Wrist: A small, thin crack in the bone that may not cause immediate deformity but can lead to pain and weakness.

Types Of Broken Wrist

There are lots of different types of broken wrist depending on where the break occurs. Common types of wrist fractures include:

  1. Distal Radius Fracture: The most common type of broken wrist, often caused by falling on an outstretched hand. FIND OUT MORE >

  2. Colles Fracture: A specific type of distal radius fracture where the broken end of the radius tilts upwards towards the back of the hand. Usually caused by landing on your palm with your wrist bent back. FIND OUT MORE >

  3. Smith’s Fracture: The opposite of a Colles fracture, where the broken radius tilts downwards towards your palm. Usually caused by landing on the back of your hand with your wrist bent forwards. FIND OUT MORE >

  4. Barton Fracture: Where the corner of the distal radius breaks off, often associated with wrist dislocation. FIND OUT MORE >

  5. Scaphoid Fracture: A break in the scaphoid, one of the small carpal bones at the base of the thumb, causing outer wrist pain. FIND OUT MORE >

  6. Ulna Fracture: A break in the smaller forearm bone, which causes inner wrist pain. Often occurs alongside other wrist injuries. FIND OUT MORE >

Each of these types of broken wrist will present slightly differently.

Types Of Broken Wrist: Different types of distal radius fracture

Broken Wrist Symptoms

Common signs of a broken wrist include:

  • Immediate pain and tenderness following an injury that persists
  • A grinding or snapping sound at the time of injury
  • Swelling and bruising in the wrist and hand
  • Visible deformity or an abnormal bend in the wrist e.g. “dinner fork deformity”
  • Difficulty or inability to move the wrist or fingers due to pain and stiffness
  • Numbness or tingling in the hand or fingers, if nerves are affected

Broken wrist symptoms will vary depending on the location and severity of the fracture and whether there are other associated injuries.

Causes Of Wrist Fractures

Wrist fractures typically result from direct trauma or excessive force. Common causes of a broken wrist include:

  • Falls: Falling on an outstretched hand is the most common cause of a wrist fracture. This can happen during daily activities, sports, or even simple missteps

  • Sports Injuries: High-impact sports such as football, basketball, skateboarding, skiing, and snowboarding put athletes at a higher risk of a broken wrist due to falls and direct blows

  • Car Accidents: High-speed collisions or direct trauma from a car accident can cause severe wrist fractures, often leading to complex breaks

  • Workplace Accidents: Jobs that involve heavy lifting, manual labor, or working at heights increase the risk of wrist injuries from falls or direct impacts

  • Repetitive Stress: Activities that involve repetitive wrist motions, such as gymnastics, weightlifting, or certain occupational tasks, can lead to a stress fracture in wrist over time. These small cracks in the bone may worsen if left untreated

  • Physical Altercations: Direct blows to the wrist, such as in a fistfight or physical altercation, can cause fractures, particularly if the wrist is struck forcefully or used to block an impact

Risk Factors

Certain factors can increase the likelihood of sustaining a wrist fracture:

  • Osteoporosis: Weakening of the bones increases susceptibility to fractures, especially in older adults
  • Age: Older adults have a higher risk due to decreased bone density, while younger individuals may be at risk due to high-impact activities
  • Gender: Women, particularly postmenopausal women, are more prone to fractures due to lower bone density
  • Poor Balance or Coordination: Conditions that affect balance, such as Parkinson’s disease, increase the likelihood of falls
  • Nutritional Deficiencies: A lack of calcium and vitamin D can weaken bones and increase fracture risk

Broken Wrist Diagnosis

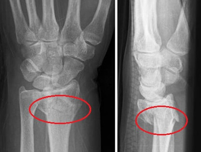
A wrist fracture is usually diagnosed through a combination of:

Broken Wrist Xray showing distal radius fracture
  • Medical Examination: A doctor will ask you about your symptoms and medical history and then assess swelling, deformity, and range of motion
  • X-rays: A broken wrist x-ray is the most common imaging method used to confirm a wrist fracture and determine its location and type
  • CT Scan or MRI: Used in complex cases to provide detailed images of the surrounding soft tissues and small fractures
  • Bone Density Test: May be recommended if osteoporosis is suspected e.g. due to age or previous fractures

Treatment For Broken Wrist

Wrist fracture treatment depends on the severity and type of break. Check out our top tips for making a great recovery in our broken wrist recovery tips article.

Non-Surgical Treatment

Simple broken wrists can often be treated conservatively. Non-surgical wrist fracture treatment usually involves

  • Immobilization: A cast or splint is used to keep the wrist stable while the bone heals, typically for 4-6 weeks
  • Pain Management: Over-the-counter pain relievers like ibuprofen or acetaminophen/paracetamol help manage broken wrist pain and swelling
  • Ice: Regularly applying an ice pack helps to reduces swelling and pain
  • Elevation: Keeping the hand elevated above the level of your heart helps to reduce swelling in and around the wrist. The easiest way to do this is to wear a sling
  • Physical Therapy: After the bone heals, it is really important to work with a physio on a rehab plan of exercises to help restore strength, flexibility, and mobility
  • Bone Stimulation: Low-intensity ultrasound therapy may be used to promote bone healing in non-healing fractures

If the fracture fails to heal properly with these methods you may need further surgical treatment for your broken wrist.

Broken Wrist Surgery

More complex or unstable wrist fractures will require surgical input. There are a few different options for broken wrist surgery:

  • Closed Reduction: A doctor manually realigns the bones, often under live x-ray guidance, before applying a cast to ensure the wrist heals in the correct position
  • Open Reduction and Internal Fixation (ORIF): An incision (cut) is made over the wrist to access the fracture. The bones are realigned and then held in the correct position using plates, screws, or pins.
  • External Fixation: A stabilizing device is applied that sits on the outside of the wrist. Used for more complex wrist fractures
  • Bone Grafting: In cases where there is a gap between the bone fragments or the fracture has failed to heal, a bone graft may be needed to promote healing and restore bone integrity

Broken wrist treatment will vary slightly depending on the type of wrist fracture:

Broken Wrist Recovery Time

Broken wrist healing time can be divided into four stages:

  1. Initial Treatment (First Few Days): Your wrist will be immobilized in a cast or splint to stabilise the wrist and allow the bone to heal in the correct position. Pain and swelling can be managed with medication, ice, and elevation. You may need to wear the splint or cast for 4-8 weeks

  2. Healing Phase (Weeks to a Few Months): Bone healing typically takes 6-8 weeks for a simple fracture, but can be longer with more complex fractures. You will have x-rays periodically to ensure the bone is healing correctly. You may need to avoid using the wrist for daily tasks e.g. heavy lifting and limit the amount of weight you put through your wrist and hand. Physical therapy may begin once the bone is stable

  3. Rehabilitation (3-6 Months): After the bone heals, physical therapy focusses on restoring full wrist mobility, strength, and flexibility to regain full function. You can gradually return to activities, but avoid heavy lifting until fully recovered

  4. Long-Term Recovery (Up to a Year): Full recovery from a wrist fracture may take up to a year, especially for more severe fractures. Some people experience mild ongoing stiffness, but most regain full function over time

Broken Wrist Recovery Tips

Here is a quick guide to our top tips for making a full recovery from a broken wrist:

  • Follow your doctor’s instructions closely to avoid re-injury or complications
  • Use ice and elevation for swelling in the early stages
  • Perform your physical therapy exercises regularly to regain wrist strength and flexibility, and keep going with them until you have regained full function
  • Gradually return to activities that involve the wrist, taking care not to push yourself too quickly

You can find out loads more great advice in our Top 10 broken wrist recovery tips article including what exercises to do and the best foods to eat to speed up healing.

Each broken wrist recovery journey is different, and some people may take more or less time to heal depending on various factors like age, overall health, and the specific type of fracture. If you have concerns about your healing process, don’t hesitate to consult your healthcare provider.

  • Driving After Wrist Fracture: You can usually drive 6-8 weeks after a wrist bone fracture, or 8-12 weeks post-surgery, once you regain strength and mobility. Get doctor’s clearance and check insurance rules before driving. You must be able to grip the wheel, turn it comfortably, and react quickly. Try a short test drive in a safe area first.

Wrist Fracture Summary

A wrist fracture is a very common injury, accounting for approximately 20% of acute fractures.

The most common cause of broken wrist pain is a fall onto an outstretched hand.

There are lots of different types of broken wrist that can occur in any of the ten wrist bones, the most common being distal radius fractures e.g. Colles fracture, and scaphoid fractures.

Wrist bone fractures may be treated non-surgically with a period of immobilisation in a splint or cast, usually for 4-8 weeks. More complex broken wrist bones may require surgery. It can take up to a year to make a full recovery from a wrist fracture - check out our broken wrist recovery tips article.

You may also be interested in the following articles:


Related Articles

Upper Arm Pain: Common causes, symptoms, diagnosis and treatment options

Upper Arm Pain
March 11, 2026

Upper Arm Pain: Common causes, symptoms, diagnosis and treatment options

Shoulder Diagnosis
February 25th, 2026

Elbow Pain Diagram: Diagnosis Charts

Elbow Diagnosis
February 26, 2026


Page Last Updated: March 25th, 2026
Next Review Due: March 25th, 2028