Ulnar Styloid Fracture

Written By: Chloe Wilson BSc (Hons) Physiotherapy
Reviewed By: SPE Medical Review Board

Ulnar Styloid Fracture: Causes, symptoms, diagnosis and treatment of a broken ulnar styloid

An ulnar styloid fracture is a common type of wrist fracture.

Ulnar styloid fractures most commonly occur with a fall onto an outstretched hand, but can also occur due to direct impact to the wrist e.g. motor vehicle accidents or contact sports.

In most cases, a broken ulnar styloid won’t require surgery unless there is significant instability or other associated injuries. Treatment usually involves immobilization and physical therapy.

Ulnar styloid fractures are a common cause of inner wrist pain. They can occur in isolation but are often associated with other wrist injuries, particular distal radius fractures.

Here we will look at the common causes, symptoms, diagnosis and treatment options for an ulnar styloid fracture.

What Is An Ulnar Styloid Fracture?

Ulnar Styloid Process: The forearm is made up of two bones, the radius and ulna. On the end of the ulna is a small, pointy bony projection known as the ulnar styloid process

An ulnar styloid fracture is a break in one of the wrist bones.

The wrist is the joint between the forearm bones and the hand bones.

The forearm is made up on two long bones that run parallel to each other:

  • Radius: found on the thumb side of the wrist
  • Ulna: found on the pinky (little finger) side of the wrist

On the distal end of the ulna, near the hand, is a small, pointed bony projection called the ulnar styloid process. It is a relatively small structure but plays a crucial role in the stability and function of the wrist joint.

A break in any part of this bony projection is known as an ulnar styloid process fracture.

Types Of Ulnar Styloid Fracture

The two most common types of ulnar styloid fracture are:

  • Avulsion Fracture: where a small fragment of bone breaks off from the tip of the styloid process. An avulsion fracture is the most common type of ulnar styloid fracture
  • Transverse Fracture: a break across the base of the styloid process – rare

Ulnar styloid fractures may be classified as:

  • Non-Displaced: A non-displaced ulnar styloid fracture is where the bone fragments remain in their normal position
  • Displaced: a displaced fractured ulnar styloid occurs when the bone fragments are misaligned - have moved out of position
  • Stable: where the bone fragments remain aligned, ligaments are intact and the wrist joint is not significantly affected
  • Unstable: where either the bone fragments are not aligned and/or there are associated ligament injuries

Ulnar styloid fractures can occur in isolation but are often associated with a fracture in the other forearm bone, known as a distal radius fracture. Colles fractures are the most common type of wrist fracture and in over 50% of cases they are accompanied by a fractured ulnar styloid.

Causes Of Fractured Ulnar Styloid

Ulnar styloid fractures typically occur as a result of trauma and common causes include:

  • Falls: The most common cause of ulnar styloid fractures is falling onto an outstretched hand (FOOSH), especially among older adults. When you try to break your fall with your hand, the impact can transfer force to the wrist, causing the ulnar styloid to fracture. Falling directly onto the wrist can also result in a fracture, especially if the fall is from a significant height or involves a heavy impact.

  • Direct Impact: A direct blow to the wrist, such as being hit by an object, can also cause an ulnar styloid fracture.

  • Road Traffic Accidents: High-impact trauma from motor vehicle accidents can lead to fractures in various bones, including the ulnar styloid.

  • Sports Injuries: Contact sports, catching sports or activities with a high risk of falls or impacts can result in ulnar styloid process fractures.

  • Osteoporosis: Osteoporosis increases the risk of fractures because it weakens bones, making them more brittle and susceptible to breaking even with minimal trauma.

Broken Ulnar Styloid Symptoms

Common symptoms of ulnar styloid fractures include:

  • Pain: pain from a broken ulnar styloid is typically localized on the pinky side of the wrist, right over fracture site. Pain usually starts immediately after the injury and may worsen with wrist movement or pressure. The pain can range from mild to severe, depending on the extent of the fracture.

  • Swelling: Swelling often occurs around the wrist and can extend into the forearm. Swelling usually appears soon after the initial injury and can persist for several days.

  • Discoloration: Bruising may develop around the wrist and forearm as a result of internal bleeding from the fracture. It can vary in colour from red to purple, and eventually to yellow-green as it heals.

  • Tenderness: The area around the ulnar styloid becomes tender to the touch when broken. The tenderness is usually concentrated over the site of the fracture.

  • Reduced Range of Motion: there may be difficulty moving the wrist in any direction, especially in activities involving rotation or flexion at the wrist

  • Deformity: In some cases, especially with severe fractures, there may be a visible deformity or the wrist may appear misaligned or crooked.

  • Instability: The wrist may feel unstable or as if it could give way following an ulnar styloid fracture, particularly when trying to bear weight or perform tasks. Some individuals may experience a clicking or popping sensation with wrist movements.

  • Reduced Grip Strength: You may notice weakened grip strength due to pain and instability and have difficulty picking things up, turning door handles etc. following an ulnar styloid fracture

  • Numbness and Tingling: If the ulna fracture impacts nearby nerves, it can cause numbness or tingling in the hand and fingers. These sensations may radiate from the wrist down into the hand and up into the forearm.

Diagnosing Ulnar Styloid Fractures

Diagnosing ulnar styloid fractures usually involves a combination of clinical evaluation and imaging studies.

Clinical Evaluation

Diagnosing Ulnar Styloid Process Fractures: Your doctor will carry out a clinical examination to look for areas of tenderness and restricted motion

The doctor will take a medical history, asking about the injury mechanism, any prior wrist injuries, and your overall health, including any conditions like osteoporosis that might affect bone strength.

They will then visually inspect the wrist for signs of swelling, bruising, or deformity, gently palpate the wrist to locate the exact point of tenderness and check for any irregularities in the bone structure.

The doctor will also assess your range of motion by asking you to move your wrist in various directions to assess pain levels and movement limitations. They may also perform specific manoeuvers to evaluate the stability of the wrist joint and the integrity of the ligaments attached to the ulnar styloid.

Imaging Studies

You may also be sent for imaging studies to check for an ulnar styloid fracture, and any other associated injuries, such as:

Ulnar Styloid Fracture: X-ray showing an isolated fractured ulnar styloid process
  • X-rays: X-rays are the primary diagnostic tool for ulnar styloid fractures and will be taken from multiple angles (anterior-posterior, lateral, and oblique views) to visualize the fracture. X-rays help in determining the location, type (e.g. simple, comminuted), and extent of the fracture.

  • CT Scans: A CT scan might be ordered if the fracture is complex or if the X-ray results are inconclusive. CT scans provide a more detailed, three-dimensional view of the bone and can help in planning surgical treatment if needed.

  • MRI: Magnetic Resonance Imaging is used to evaluate any associated soft tissue injuries, such as damage to the ligaments, tendons, or the triangular fibrocartilage complex (TFCC).

  • Ultrasound: Ultrasound can be used to assess soft tissue structures and may be helpful in evaluating ligament injuries around the ulnar styloid. It is a dynamic assessment which allows for the evaluation of wrist movement and stability in real-time.

The doctor will also consider other potential causes of ulnar wrist pain, such as ligament sprains, carpal tunnel syndrome, TFCC tears, or other types of wrist fractures e.g. distal radius fracture such as a Colles fracture, to ensure an accurate diagnosis - see our wrist pain charts for more information.

#CommissionsEarned from Amazon on qualifying purchases

Ulnar Styloid Fracture Treatment

The treatment of ulnar styloid fractures depends on the severity of the fracture, the presence of associated injuries, and the overall health and activity level of the patient.

Non-Surgical Treatment

Treatment for stable and non-displaced ulnar styloid fractures involves:

  • Splint or Cast: Immobilization is the primary treatment for minor, non-displaced fractured ulnar styloid. A cast or splint is used to keep the wrist stable and allow the bone to heal. Immobilization typically lasts for 4-6 weeks, depending on the fracture's severity and healing progress. In some cases the bones may need realigning before applying a cast, known as a closed reduction

  • Medications: Over-the-counter pain relievers such as ibuprofen/Advil or paracetamol/acetaminophen can help manage pain and reduce inflammation following ulnar styloid process fracture.

  • Ice: Regularly applying ice packs to the wrist can help reduce swelling and provide pain relief, especially in the first few days after the injury.

  • Rest and Activity Modification: It’s important to avoid activities that strain the wrist to allow for proper healing. Gradually reintroduce activities as healing progresses, guided by a healthcare professional.

  • Physical Therapy: After the initial immobilization period, physical therapy is usually recommended to restore the wrist's range of motion. You will be given a combination of range of motion exercises and gradual strengthening exercises to help rebuild muscle strength around the wrist, improve stability and restore range of motion.

Surgical Treatment

With unstable ulnar styloid fractures, those involving significant ligament injuries, or involving other nearby bones, surgery is usually recommended:

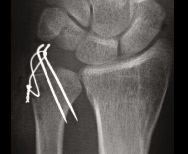
Ulnar Styloid Fracture Treatment: ORIF surgery for broken ulnar styloid
  • Open Reduction and Internal Fixation (ORIF): An ORIF is the most common surgical method for treating ulnar styloid fractures. An incision is made near the fracture site and the bone fragments are repositioned (open reduction) and then secured with screws, plates, or wires (internal fixation). 

  • K-Wires (Kirschner Wires): For some ulnar styloid process fractures, temporary wires are inserted to hold the bone fragments in place while they heal. These wires are typically removed after the bone has sufficiently healed, usually in a few weeks to a few months.

Recovering From Ulnar Styloid Process Fracture

Recovery from an ulnar styloid fracture will vary depending on the severity of the fracture, the type of treatment and whether there are associated injuries. The recovery process is very similar for both surgical and non-surgical treatment, it can just take a bit longer if surgery was needed.

Initial Phase (0-6 weeks)

With a broken ulnar styloid, the wrist is typically immobilised in a cast or splint, usually for around 4-6 weeks. Pain and swelling usually decrease significantly during this time and the cast may need changing if it gets too loose as the swelling reduces.

Intermediate Phase (6-12 weeks)

Once the ulnar styloid process fracture shows signs of healing well, the cast or splint is removed and physical therapy begins. Gentle exercises to restore range of motion and strength are initiated, continuing for several weeks.

Advanced Phase (3-6 months)

Once the fractured ulnar styloid has completely healed, strengthening and functional training exercises become more intensive, focusing on regaining full wrist function. Most daily activities can be resumed, though heavy lifting and strenuous exercises may still be limited for a few more months.

Final Phase (6-12 months)

Complete recovery, including returning to sports and heavy activities and regaining full range of motion is usually achieved within 6-12 months following an ulnar styloid fracture. The exact timeline will vary based on the fracture’s severity, treatment methods, associated injuries and individual healing rates.

Check out our article on Broken Wrist Recovery Tips for loads of great advice on how to make the best recovery.

Ulnar Styloid Fracture Summary

Ulnar styloid fractures are a common type of wrist fracture where the tip of the inner forearm bone breaks.

They are commonly associated with other injuries such as distal radius fractures including Colles fractures and Smith's fractures as well as TFCC ligament tears.

The most common cause of ulnar styloid process fractures is a fall onto an outstretched hand (FOOSH).

Other possible causes of a fractured ulnar styloid include a direct blow, sports injuries, motor vehicle accidents and osteoporosis.

Common symptoms of a broken ulnar styloid are inner wrist pain (pinky side), swelling, bruising, deformity, reduced range of wrist motion, instability and reduced grip strength.

Most ulnar styloid fractures can be treated without surgery, but unstable, complex fractures may require surgery, typically open reduction internal fixation (ORIF).

Treatment for ulnar styloid process fractures usually involves a period of immobilisation in a cast or splint while the bone heals, then a course of physical therapy to regain full movement, strength, stability and function of the wrist. Check out our Top 10 Recovery Tips for wrist fractures.

You may also be interested in the following articles:


Related Articles

Common Shoulder Pain Causes

Shoulder Problems
September 26, 2023

Upper Arm Pain: Common causes, symptoms, diagnosis and treatment options

Diagnosis Charts
September 28, 2023

Elbow Pain Diagram: Diagnosis Charts

Elbow Diagnosis
February 26, 2026

Medical & Scientific References

  1. Distal Ulnar Fractures. National Library of Medicine 2023
  2. Ulnar Styloid Fracture. Radiopaedia 2023

Page Last Updated: March 25th, 2026
Next Review Due: March 25th, 2028