Written By: Chloe Wilson BSc (Hons) Physiotherapy
Reviewed By: SPE Medical Review Board

A lump on the elbow is a common problem.
Lumps and bumps can be quite worrying but most of the time, they are nothing serious.
There are lots of different things that can cause elbow bumps and lumps.
There may be a problem with one of the elbow bones, an abnormal collection of fluid, inflammation from overuse, an injury or even a benign growth.
Whilst it is incredibly rare for a lump on elbow to be cancerous, you should always get any new growths checked out by your doctor to make sure it’s nothing serious.
Here we are going to look at the different causes of a lump on the elbow and how to identify which type you have. We will then go on to look at the best ways to treat them. If you are more bothered by pain than swelling and lumps on the elbow, check out the inner elbow pain and outer elbow pain articles.
A lump on the elbow may be caused by:
Each of these causes of elbow lumps will present slightly differently, and as such, will require different treatment. We will start by looking at the four most common causes of a lump on elbow and then go on to look at some of the more unusual ones too.

The most common cause of a lump on the elbow at the back of the joint is olecranon bursitis, aka student’s elbow or Popeye elbow.
Olecranon bursitis develops when excess fluid pools in the olecranon bursa, a small sac at the back of the elbow that provides cushioning, causing it to swell.
This usually occurs when there has been repetitive pressure or friction through the back of the elbow, or after a sudden hard blow to the back of the elbow. The elbow tries to protect itself by producing more fluid for increased cushioning, but if it swells up too much, it can start causing pain.
Common symptoms of olecranon bursitis include a defined pocket of swelling behind the elbow, tenderness and occasionally redness and warmth.
Treatment for an olecranon bursitis lump on the elbow initially focuses on reducing the swelling with ice and medication and protecting the area with elbow pads or by avoiding leaning on your elbow. Occasionally the excess fluid may need to be drained.
You can find out loads more about this common cause of a lump on elbow and how to treat it in the Olecranon Bursitis section.
Another common cause of bumps on the elbow are elbow cysts. Cysts are small sacs or lumps that may be filled with a variety of substances such as fluid or pus, that can occur anywhere e.g. shoulder cysts. They often look a bit like a blister. Elbow cysts are very common are usually completely harmless.
There are lots of different types of elbow cysts but the two that most commonly cause a lump on the elbow are:
In most cases, a lump on the elbow from a cyst doesn’t require immediate treatment and your doctor will often recommend a watch and wait course of action. But if the cyst starts causing pain or becomes infected, then it may need to be drained, surgically removed or treated with antibiotics.

Tendonitis, aka epicondylitis, can also cause a lump on the elbow.
With elbow tendonitis, repetitive strain through the forearm muscles leads to inflammation of the tendons that connect the muscles to the elbow.
The two most common types of elbow tendonitis that cause a bump on the side of the elbow are:
Elbow tendonitis typically affects people who do repetitive activities including racket sports, computer work, throwing sports and manual labour. Typical symptoms include localised aching or burning pain and tenderness that may radiate down the forearm and gets worse with activities such as gripping, shaking hands, twisting activities e.g. opening jars and picking up heavy objects.
You can find out about the different causes of a lump on the elbow from tendonitis including the causes, symptoms, diagnosis and treatment for each in the elbow and forearm tendonitis section.

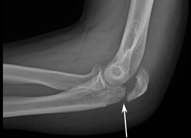
A lump on the elbow that appears suddenly and is associated with some kind of trauma e.g. fall, RTA or sporting tackle may indicate a bone fracture or joint dislocation.
There is typically immediate pain and swelling at the time of injury and it may be difficult to move your elbow.
Elbow fractures and dislocations are often accompanied by an obvious deformity around the elbow and there may be a hard lump if part of the bone has been forced out of place.
If you suspect your elbow lump is due to a fracture or dislocation, seek urgent medical attention.
Some of the less common causes of lumps on the elbow include:
Treatment for elbow lumps will depend on the underlying cause of the problem but may involve a combination of:
#CommissionsEarned from Amazon on qualifying purchases
There are lots of possible causes of lumps and bumps on the elbow, the most common being bursitis and tendonitis.
A bump on the side of the elbow may be a tennis elbow lump if it’s on the outer side, whereas a lump on the inside of the elbow is usually from medial epicondylitis.
A large bump on the elbow may be from olecranon bursitis, gout, a cyst or an infection.
A bump on the elbow after a fall often indicates a fracture or dislocation.
A red bump on the elbow is usually due to gout or an infection whereas a white bump on the elbow or itchy bumps on the elbow are often due to skin conditions such as eczema or psoriasis.
A soft elbow lump is usually a cyst, lipoma or bursitis whereas a hard lump on the elbow usually indicates a bone issue e.g. fracture or callus (bone spur) formation.
A bump on the elbow with no pain usually indicates something harmless like a cyst, lipoma or warts.
You may also be interested in the following articles:
Page Last Updated: March 20th, 2025
Next Review Due: March 20th, 2027
Shoulder Problems
November 6th, 2024
Diagnosis Charts
February 11th, 2025
Rehab Exercises
December 12, 2023