Written By: Chloe Wilson BSc (Hons) Physiotherapy
Reviewed By: SPE Medical Review Board
A wrist pain chart is a useful tool for helping you work out what is causing your wrist or hand symptoms.
Wrist pain is a common problem, typically developing either rapidly due to an injury e.g. a fall, or gradually from repetitive overuse e.g. typing or racket sports.
Linking the wrist pain location to the onset and associated symptoms makes it easier to work out what is going on, so we’ve devised a wrist pain diagnosis chart to help.
If your pain is further into your hand or fingers, check out our hand pain diagram.

Area’s A and B on the wrist pain chart refer to pain on the outside of the wrist. This is the area on the thumb side of the wrist, whether your palm is up or down. Outer wrist pain diagnosis usually indicates one of the following:
A distal radius fracture is a break in the outer forearm bone near the wrist, often caused by falling onto an outstretched hand. Symptoms include outer wrist pain, swelling, bruising, and difficulty moving the wrist. There are lots of different types of distal radius fracture depending on where exactly the break is. FIND OUT MORE >
A Smith’s fracture is type of wrist fracture usually caused by falling onto a bent wrist. The bone fragment shifts forwards, resulting in a lump on the palmar side of the outer wrist. This type of fracture, aka Reverse Colles Fracture, is often unstable and may require surgical treatment. FIND OUT MORE >
A Barton fracture is a type of distal radius fracture that extends right into the wrist joint and is often accompanied by dislocation. The bone fragment may shift forwards (volar) or backwards (dorsal). It is usually caused by high-impact trauma, such as a fall or car accident, and typically requires surgical intervention. FIND OUT MORE >

Extensor Carpi Radialis (ECR) tendonitis is an overuse injury causing pain and inflammation in the tendons responsible for extending and abducting the wrist and hand. Typically caused by repetitive wrist movements, it causes pain with gripping or wrist extension activities. FIND OUT MORE >
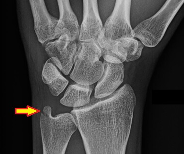
A scaphoid fracture is a break in one of the small wrist bones near the base of the thumb, often caused by a fall onto an outstretched hand. There is usually no visible deformity so scaphoid fractures often go undiagnosed. Tenderness on palpation at the base of the thumb is a common indicator. It can be slow to heal due to limited blood supply, sometimes requiring surgery for proper recovery. FIND OUT MORE >

De Quervain tenosynovitis is a common repetitive use injury causing thumb and wrist pain with gripping, pinching or twisting movements.
The thumb may be weak and stiff and experience a catching sensation as it moves.
It is usually caused by repetitive grasping or lifting activities e.g. racket sports, carpentry, knitting or new mum’s lifting babies. FIND OUT MORE >
Areas C & D on the wrist pain chart focus on wrist injuries that cause pain in the middle of the wrist. Symptoms may also extend up into the hand or to the side of the wrist. Central wrist pain diagnosis often indicates one of the following:
A Colles fracture is the most common type of wrist fracture, typically caused by falling onto an outstretched hand. There is a complete break through the distal radius and the fragment shifts backwards causing the classic “dinner fork deformity”. They are often managed in a cast but more complex cases require surgery. FIND OUT MORE >
A wrist ganglion is a fluid-filled cyst that develops near the joints or tendons of the wrist, often causing a visible lump and discomfort, either on the front or back of the wrist. While usually harmless, they can cause pain or limit movement and may require treatment.They are the most common cause of wrist and hand lumps. Find Out More >
Carpal tunnel syndrome is a common cause of wrist pain with tingling and numbness in the palm. It is caused by compression of the median nerve as it passes through the wrist, usually from repetitive pressure through the wrist, pregnancy or wrist injuries. Symptoms are typically worse at night, but can be relieved with some simple measures. FIND OUT MORE >
Gout in the wrist occurs when uric acid crystals accumulate in the joint, causing sudden intense pain, swelling, and redness. It is often triggered by diet, dehydration, or underlying health conditions and is managed with medications, lifestyle changes, and dietary adjustments.
Wrist arthritis occurs when the cartilage in the wrist joint wears down, leading to pain, stiffness, and swelling. It can result from aging, injury, or conditions like rheumatoid arthritis, affecting wrist movement and daily activities.
Intersection syndrome is an overuse injury causing irritation where the thumb and wrist tendons cross over each other. It is common in activities that involve repetitive thumb movements and wrist extension, such as rowing, manual labor or weightlifting. Typical symptoms include pain, swelling and crepitus about 5cm below the wrist that get worse with wrist and thumb movements. FIND OUT MORE >
Extensor tendonitis is inflammation of the group of tendons on the back of the wrist that extend the wrist and fingers. Typically caused by repetitive movements such as typing, playing an instrument e.g. piano, or sports involving gripping e.g. baseball. It causes pain, swelling, stiffness and reduced grip strength, typically getting worse with activity. FIND OUT MORE >
Area E on the wrist part chart focuses on inner wrist pain on the pinky finger side of the wrist. Symptoms may be felt on the front or back of the inner wrist, or sometimes both. Inner wrist pain diagnosis often indicates:

An ulnar styloid fracture occurs when the tip of the ulna (inner wrist bone) breaks, usually from a fall onto an outstretched hand.
Common symptoms include inner wrist pain, swelling, bruising and tenderness and there may be a visible deformity.
Minor cases can be treated in a cast/splint but more severe injuries require surgery, especially if there are other associated injuries. FIND OUT MORE >
A triquetral fracture is a break in one of the small carpal bones on the pinky side of the wrist, often resulting from a fall. Symptoms include localized pain and swelling just above the inner wrist in the hand, and may make it difficult to move the wrist.
Extensor Carpi Ulnaris (ECU) tendonitis is an overuse injury that causes inflammation of the ECU tendon, leading to pain and weakness on the inner side of the wrist, particularly with gripping, twisting or pinching activities. It is commonly seen in activities involving repetitive wrist extension and twisting movements, such as golf or using tools. FIND OUT MORE >
A TFCC Tear (Triangular Fibrocartilage Complex injury) occurs when the ligament and cartilage structure in the wrist is damaged, leading to pain, weakness, and instability. It commonly results from falls, repetitive wrist motions, or degenerative wear and tear. FIND OUT MORE >
If your pain is more in the hand than the wrist, there are a number of things it could be:

You can find out all about these conditions and how to treat them in the Hand Pain Diagram section.
If you develop wrist pain, with or without an injury, it is a good idea to get checked out by a doctor, even if you think you know what is wrong from the wrist pain chart.
You should see your regular doctor for wrist pain diagnosis if:
You should go to the emergency room for wrist pain diagnosis if:
If unsure, it's best to seek medical advice for wrist pain diagnosis to prevent complications.
#CommissionsEarned from Amazon on qualifying purchases
Treatment for wrist pain will depend on what is causing your symptoms but common approaches include:
Start by using our wrist pain chart to work out what is wrong and then find out about specific treatment options for each problem:
Our wrist pain chart shows you the most common locations of different types of wrist pain.
Wrist pain may develop suddenly, typically due to a fracture, or gradually, often due to overuse and tendonitis or underlying medical conditions.
By using the wrist pain chart here you should be well on your way to making a wrist pain diagnosis, but this is not a substitute for medical review and any new incidence of wrist pain should be reviewed by your doctor.
The most common cause of wrist fractures is a fall as our natural instinct is to protect ourselves from the fall by putting out our hands. A great deal of force goes through the wrist as you land, often resulting in a fracture to one or more of the wrist bones, most commonly the distal radius.
There are lots of different types of wrist fracture, depending on the location of the break and how far the fracture extends, each requiring different treatment.
Overuse is another common cause of wrist pain, typically resulting in inflammation of one or more of the wrist tendons. Repetitive actions such as typing, using tools, playing racket sports or heavy lifting often irritate the tendons, resulting in wrist tendonitis.
Hopefully, our wrist pain chart will have helped you work out what is going, and you can find out lots more about the causes, symptoms, treatment and recovery for each using the links above.
You may also be interested in the following articles:
Shoulder Problems
January 29th, 2026
Shoulder Diagnosis
February 25th, 2026
Rehab Exercises
May 21, 2024
Page Last Updated: May 12th, 2026
Next Review Due: May 12th, 2028